Mid-Michigan Teeth Whitening
Get a Smile 10 Shades Brighter
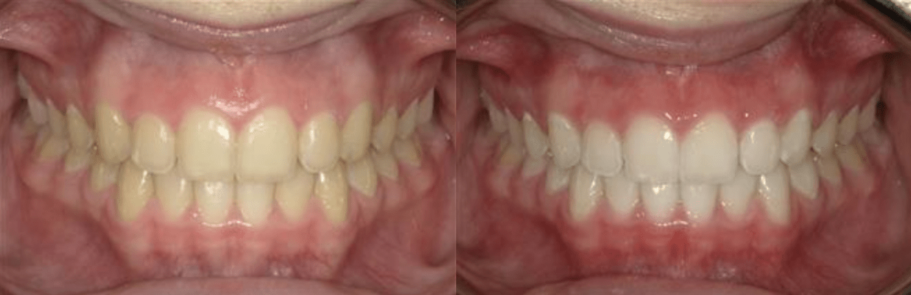
Zoom teeth whitening at Great Lakes Bay Orthodontics is a great way to get a brighter smile with lasting results up to 10 shades whiter than when you started.

Philips Zoom Teeth Whitening in Bay City & Midland
If you want a brighter smile with treatment that won’t disrupt your schedule, our Philips Zoom! WhiteSpeed Whitening delivers a smile up to 10 shades brighter in just 60 minutes.
This cutting-edge treatment is the most sought-after professional whitening solution for patients like you seeking swift, stunning results without the hassle.
What to Expect
To get started, we’ll cover your lips and gums, leaving your teeth exposed. Next, we’ll apply the Zoom whitening gel to your teeth. This gel works with the Zoom light to penetrate your teeth and break up stains and discoloration.
We’ll leave the gel on your teeth for 15 minutes while the light is activated. This process is entirely pain-free, so you can sit back and relax.
The entire treatment includes up to four 15-minute sessions of light activation for a total of 60 minutes. After your treatment is complete, your doctor will apply a sensitivity-reducing fluoride paste gel to your teeth.
How Zoom Teeth Whitening Works at Great Lakes Bay Orthodontics
At Great Lakes Bay Orthodontics, your teeth whitening treatment will include:
- In-Office Philips Zoom Whitening with doctor-prescription-level Whitening Gel using a Philips Zoom Whitening LED accelerator light
- 1-hour procedure under the care of our Clinical Team
- Philips Zoom Whitening take-home kit that includes sensitivity relief gel and whitening "touch-up" gel to use 6 months after initial treatment
You can enjoy our Zoom Teeth Whitening in two ways, depending on your patient status:
New Orthodontic Patients
At your initial consultation, you can choose to add teeth whitening services as part of your overall orthodontic package. We’ll include the price of your Zoom Teeth Whitening to your treatment plan.
You’ll receive your teeth whitening treatment four weeks after your debond appointment or after you’ve completed your clear aligner treatment.
Former Patients or Non-Orthodontic Patients
If you’ve already completed your smile journey—or even if you’ve never been an orthodontic patient at our Bay City or Midland office—you can still brighten your smile at Great Lakes Bay Orthodontics.
We offer our Zoom Teeth Whitening treatment to former patients and non-patients. Call our office for more details and to schedule your teeth whitening appointment.
